Tel: 0538 737 47 34

13 Mart Mahallesi, 46. Cadde, 14. Sokak, Ahmetoğlu Apartmanı No:4A, 47200 Artuklu/Mardin

Çalışma Saatleri:

Pazartesi-Cuma: 8:30-19:00 Cumartesi: 8:30-19:00

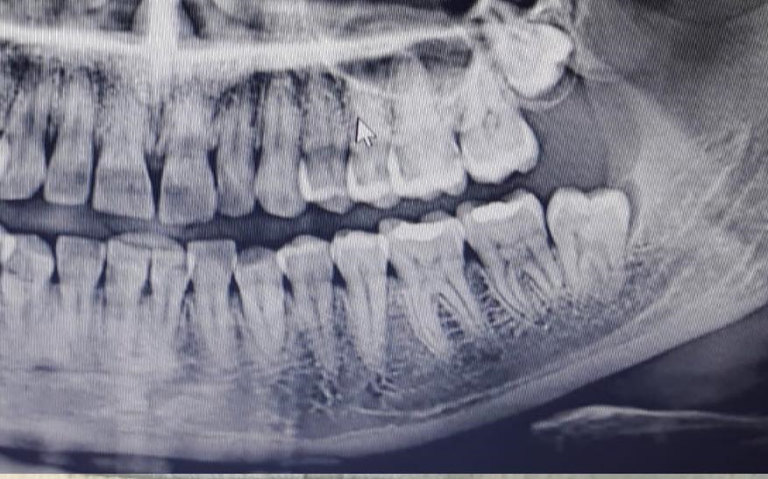
Yirmi Yaş Dişi

Yirmi Yaş Dişi

Yirmi yaş dişi veya üçüncü azı dişi, insan dentisyonunun her bir çeyreğinde bulunan üç azı dişinden birisidir. Üçü içerisinde en arkada bulunan diştir. Yirmi yaş dişi genellikle 17-25 yaşlarında sürer. Çoğu yetişkinde her bir çeyrekte bir adet bulunan dört yirmi yaş dişi vardır. Dörtten daha az ya da fazla olabilir, örneğin fazladan dişlere süpernümerer dişler denir. Yirmi yaş dişi gömülü kaldığında gelişme sürecinde olan diğer dişleri de etkiler.

Böylece bu olduğunda ya da olmadan çekilirler. Yirmi yaş dişi uzun zaman önce sorun çıkardığı tanımlanmış ve insan ağzındaki en yaygın gömülü diş olarak sorun çıkarmaya devam etmektedir. Gömülü yirmi yaş dişleri, yön, gömüklüğün derinliği, diş sürmesi için mevcut alan miktarı ve üzerlerini örten yumuşak doku veya kemik miktarına göre sınıflandırılırlar. Bu sınıflandırma yapısı doktorlara gömüklüğün olasılıklarını hesaplamalarını sağlar, dişin çekilmesi halinde görülebilecek enfeksiyonlar, komplikasyonlar.

Yirmi yaş dişleri aynı zamanda semptomların ve rahatsızlıkların varlığına göre sınıflandırılır. Gömülü yirmi yaş dişinin tedavisi herhangi bir gömülü dişin tedavisi ile aynıdır. Diş gömülü ise tedavi gömüklüğün üzerindeki enfekte doku, diş çekimi ya da koronektomi ile sınırlandırılabilir.